長い時間をかけて、大切に育ててきた細胞たち。
そんな彼らが居るはずの培養容器が、ある朝ふと見たら白く濁っていた――。

透明なはずの培地に浮かぶ微生物

微生物のコンタミにより濁った培地
細胞を培養している研究者にとって、これほどショックな出来事はありません。
このような状況を「コンタミネーション」、通称「コンタミ」と言います。
今回は、あなたの研究を一瞬で台無しにしてしまう「見えざる侵略者」の正体に迫ってみましょう。
コンタミネーションとは、簡単に言えば「本来含まれるべきではない異物の混入や汚染」のこと。
どのような分野であっても「混入」や「汚染」は、起こってはいけないことです。
飲食・食品業界では食中毒*1、運送業界では輸送トラブル*2の原因となり、時には人命を奪いかねない重大な事故を招いてしまいます。
細胞培養の世界でも「コンタミ」は最も恐れるべき事故として存在します。
というのも、混入してくるものの多くが“自己増殖”の能力を持っているからです。
(注:ウィルスやプラスミドベクターなど自己増殖能を持たないものによるコンタミもあります)
自己増殖とは、自分自身の力だけで次々に増えていくこと。
この止まらない増殖が、コンタミを単なるミスではなく「研究そのものを揺るがす重大なトラブル」へと変えてしまうのです。
*1: 低脂肪乳等による黄色ブドウ球菌エンテロトキシンA型食中毒の原因について. 感染症情報センター報. 2001;22(8):188-190
*2: コンタミ事故を防止するための注意喚起. 九州経済産業局・資源エネルギー環境部石油課. 2018年11月15日
細胞のために用意された「培地」には、アミノ酸、糖分、ビタミンなど、細胞が元気に育つための栄養がふんだんに含まれています。
でも残念なことに、この贅沢な環境は、微生物にとっても「最高のごちそう」なのです。
彼らは、この栄養豊富な場を利用して、驚くほどのスピードで増えていきます。
この問題をより深刻にしているのが、「増殖スピードの差」です。
たとえば、哺乳類細胞が1回分裂して倍になるには、おおむね24時間程度かかります。
この増殖スピード(倍化時間)は細胞によって大きく異なることがあり、筆者の経験上、軟骨細胞をはじめとする骨に関連する細胞では1回の分裂に数日~1週間かかることがありました。
でも、大腸菌のような細菌といった微生物は、条件が整っていれば、わずか20分で分裂可能*3です。
仮にこのような微生物が1個でも混入したとしたら、あなたの細胞が1回分裂して2個に増える24時間の間に微生物は70回分裂します。
このことから考えると、20分で一回分裂できる微生物1個は24時間で理論上は270個…かなり大きな数字ですが約12垓(ガイ。と呼びます。10億の1兆倍を表します)個以上に!
それほどまでに増えるのですから、たった一晩で培地が白く濁るほど微生物が増えてしまうのです。
その結果、せっかく育てた細胞が死んでしまったり、データが使い物にならなくなったり…。
数か月、数年分の努力が、たった一晩でゼロになってしまうこともあるのです。
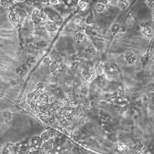
もっとも一般的なコンタミは、細菌やカビ、酵母などの微生物が入り込むケースです。
このタイプのコンタミでは、培地が濁ったり、培地の色(主にフェノールレッドなどのpH指示薬)が急に変わったり、ホコリのようなものが浮いていたりと、目で見て気づくことができます。

培養していた細胞の中に異様な物が居ます

培地中で育ってしまった菌糸

菌糸と細胞が一緒に存在しています
ただし、見た目で分かる頃には、すでに手遅れであることも少なくありません。
もう一つのコンタミが、もっとやっかいな「クロスコンタミネーション(交差汚染)」です。
これは、微生物ではなく「別の種類の細胞をはじめとする生物材料」が混ざってしまうというもの。
たとえば、作業中にA細胞のピペットが、うっかりB細胞の容器に触れてしまったり、手袋に付いた細胞が他の容器に移ってしまったり…。
いずれも肉眼では分からず、混入の瞬間にもまったく気づけません。
そのまま放置すると、増殖力の強い細胞に徐々に置き換わり、数週間後には“中身がすっかり別物”なんてことも。

見た目には同じような細胞です

染色されない細胞が混入していました
上の写真にはどれも同じような細胞が映っていますが、特殊な染色をおこなってから観察すると、色が付かない性質が異なる細胞が混じっていることが確認されました。
非常に多くの研究者が利用している「HeLa細胞(ヒト子宮頸がん細胞)」は、その利用ケースの多さから様々な混入事故の原因細胞として挙げられています。
HES細胞(ヒト子宮内膜上皮細胞)として培養していた細胞が、様々な検証の結果、HeLa細胞であったと発覚した例もあります*4。
交差汚染の恐ろしさは、見えないまま、研究の根幹を揺るがしてしまうところにあります。
汚染の多くは、研究者自身のちょっとした動きやうっかりが原因です。
私たちの手や髪の毛、呼吸に含まれる飛沫には、目に見えない微生物がたくさん潜んでいます。
たとえクリーンベンチ内でも、容器の真上で手を動かすだけで微生物が落ちてしまうことがあります。
また溶液を取り扱う器具(ピペット)の先端がクリーンベンチの一部に触れてしまうことも危険です。もし、触れた箇所に微生物が落ちてきていたとしたら…器具を通して溶液を入れると一緒に微生物も入り込んでしまいます。

たとえグローブを付けていても油断禁物です

溶液を扱う器具にも要注意です
ちょっとした癖や油断が、大きなトラブルの元になることもあるのです。
実験室の空気中にも、実は多くのカビの胞子や細菌が浮いています。
特に、エアコンの風やドアの開け閉めで起きる気流は要注意。
この気流が、室内のホコリや汚染源をクリーンベンチ内に運び込んでしまうこともあるのです。
ドアを静かに開ける、といったちょっとした配慮も、実は大切な防御策のひとつです。
意外かもしれませんが、細胞を育てるための設備――インキュベーター自体が、汚染源になることも。
インキュベーター内には湿度を保つための加湿水が置かれていることがありますが、この水が微生物の温床になるケースが多いのです。

コンタミの防止はインキュベーターでの培養からはじまっています
37℃という快適な温度、そして高湿度の環境は、微生物にとっても増えやすい理想的な環境。
気をつけないと、装置そのものが“汚染の発信源”になってしまうのです。
今回は、コンタミネーションの基本から、その脅威、そして主な侵入経路までをお伝えしました。
細胞の近くにある「日常的な作業」や、「ちょっとした行動」が、実はリスクにつながっているかもしれない――。
そう思うと、より注意を払いたくなりますよね。
その手の動き、1回の呼吸が、あなたの細胞の未来を変えてしまうかもしれません。
でも、ご安心ください。
正しい知識と対策があれば、コンタミを防ぐことは十分可能です。
次回の記事では、今回紹介した三大侵入経路に対して、どのように対策を立てていけば良いかを、具体的にご紹介します。
どうぞお楽しみに。